Woran erkenne ich, ob ich behandelt werden muss?

Bei jeder Verletzung im Mund, an der Zähne beteiligt sind, sollten Sie sofort mit Ihrem Zahnarzt sprechen, um abzuklären, ob eine Behandlung erforderlich ist. Der Zahnarzt wird die betroffene Stelle untersuchen und eventuell Röntgenaufnahmen machen lassen.

Falls möglich, nehmen Sie sämtliche Teile des abgebrochenen Zahns mit zum Zahnarzt.

Wurde ein Zahn durch einen Unfall vollständig ausgeschlagen, gehen Sie sofort zum Zahnarzt und nehmen Sie den Zahn mit – möglichst in einer Zahnrettungsbox aufbewahren. Es kann sein, dass Ihr Zahn reimplantiert (wiedereingesetzt) werden kann.

Wie behandelt ein Zahnarzt einen…?

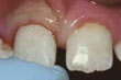
Abgesplitterten Zahn — Wenn es nicht schmerzt und das Bruchstück nur klein ist, können Sie selbst entscheiden, ob, wann und wie der Zahn repariert werden soll. Abhängig von der Größe des Bruchstücks, kann der Zahn geglättet oder kosmetisch korrigiert werden. Andere Möglichkeiten sind Veneers (Verblendschalen), Kronen und Füllungen. Bitten Sie Ihren Zahnarzt, Ihnen diese Möglichkeiten zu erklären. Falls eine Füllung oder ein künstlicher Zahn abbricht, sollten diese ersetzt werden.

Gesprungener oder gebrochener Zahn — Gesprungene und gebrochene Zähne sollten sobald wie möglich repariert werden, um weiteren Schaden zu verhindern. Eine Wurzelkanalbehandlung oder Zahnextraktion kann notwendig sein. Wenn ein Sprung den Zahnschmelz und das Dentin betrifft, ist eine Krone häufig die beste Lösung. Bedenken Sie, dass Sprünge nicht immer sichtbar sind, auch nicht auf Röntgenbildern. Zu den Symptomen können Schmerzen beim Kauen und Empfindlichkeit auf kalte und heiße Speisen und Getränke sowie auf Luft gehören. Diese können mit der Zeit immer stärker werden.

Ausgeschlagener Zahn — In einigen Fällen können bei einem Unfall ausgeschlagene Zähne wieder eingepflanzt (reimplantiert) werden. Dass muss aber sehr schnell geschehen. Mit jeder Minute, die verstreicht, sterben mehr Zellen an der Zahnwurzel ab, die für ein festes wieder einwachsen des Zahns notwendig sind. Der beste Aufbewahrungsort für einen ausgeschlagenen Zahn ist eine Zahnrettungsbox. Diese gibt es beim Zahnarzt, in Apotheken oder meist auch in Notarztwagen. Im Notfall kann der Zahn auch in physiologischer Kochsalzlösung oder in Speichel desjenigen aufbewahrt werden, der den Zahn verloren hat. Nur wenn der Zahn stark verschmutzt ist, kann er mit Kochsalzlösung abgespült werden.
Der Zahn sollte nur an seiner Krone berührt werden – nie an der Wurzel. Der Zahn soll nicht in Papiertaschentücher eingewickelt werden und darf nicht trocknen. Die besten Erfolgschancen haben Reimplantationen innerhalb der ersten 30 Minuten; gute Chancen bestehen bei bis zu zwei Stunden. Es kann sein, dass Ihr Zahnarzt ein bis zwei Wochen nach abgeschlossener Stabilisierung eine Wurzelkanalbehandlung durchführen muss.

Verlorene Zähne, unabhängig davon, ob sie vom Zahnarzt gezogen wurden oder durch einen Unfall verloren gingen, sollten ersetzt werden. Dies verhindert Problemen beim Kauen und Sprechen oder dass sich die verbleibenden Zähne verschieben. Als Langzeitprobleme von nicht ersetzen Zähnen können sich auch Kiefergelenksstörungen entwickeln.

Wenn ein Zahn verloren gegangen ist, hat das auch immer Folgen für den Kieferknochen. Durch die fehlende Belastung beim Kauen, wird dieser schwächer und dünner. Für den Ersatz verlorener Zähne eignen sich prothetische Versorgungen durch Brücken, Prothesen und Implantate.

Gebrochener Kiefer — Wenn Sie annehmen, dass Sie oder jemand anders einen gebrochenen Kiefer hat, bewegen Sie den verletzten Kiefer nicht. Er sollte mit einem Tuch (Handtuch, Krawatte etc.) stabilisiert werden, das um ihn gebunden wird. Mit kalten Kompressen können eventuell entstehende Schwellungen reduziert werden. Gehen Sie sofort in die Notaufnahme eines Krankenhauses oder rufen Sie einen Notarzt an.

Chipped

Abgesplitterter Frontzahn

Repaired

Abgesplitterter Zahn nach Wiederherstellung

KnockedOut

Ausgeschlagener permanenter Zahn

Reinserted

Reimplantierter Zahn

Mundgesundheitsquiz

Was steckt hinter deinem Lächeln?

Mache unseren Mundgesundheitstest, um das Beste aus deiner Mundpflegeroutine herauszuholen.

Mundgesundheitsquiz

Was steckt hinter deinem Lächeln?

Mache unseren Mundgesundheitstest, um das Beste aus deiner Mundpflegeroutine herauszuholen.