Röntgenaufnahmen der Zähne

Röntgenaufnahmen der Zähne sind ein wesentlicher Bestandteil jeder systematischen Mund- und Zahnpflege. Sie werden recht häufig gemacht – Bei jedem, der schon einmal einen Zahnarzt oder Dentalhygieniker aufgesucht hat, wurde wahrscheinlich schon einmal eine Röntgenaufnahme gemacht. Daher sind hier weitere Informationen nützlich.

Röntgenaufnahmen der Zähne

Diese Röntgenaufnahmen werden normalerweise in der Praxis eines Zahnarztes oder Zahnspezialisten gemacht. Zunächst wird Ihnen eine Bleischürze angelegt, um Ihren Körper vor der Strahlung zu schützen. Danach führt eine in der Anfertigung von Röntgenaufnahmen ausgebildete zahnmedizinische Fachkraft eine kleine Kunststoffvorrichtung in Ihren Mund ein, auf die Sie aufbeißen müssen – so wird der Röntgenfilm an Ort und Stelle gehalten. Anschließend macht ein Techniker eine Röntgenaufnahme des Zielbereichs. Die Prozedur ist nicht mit Schmerzen verbunden und wird so lange wiederholt, bis alle Bilder Ihres gesamten Mundraums erfasst worden sind.

Warum wird eine Röntgenaufnahme gemacht?

Der Hauptzweck einer Röntgenaufnahme ist präventiver Art. Denn anhand dieses Verfahrens kann eine Reihe von Zahnproblemen erkannt werden – darunter Knochenabbau, Zahnschäden und Karies. Abgesehen von der präventiven Funktion ist eine Röntgenaufnahme zudem bei der Behandlungsplanung von Patienten von Nutzen, bei denen Zähne wiederhergestellt, Zahnimplantate eingesetzt oder sonstige kosmetische Verfahren vorgenommen werden müssen.

Häufige Arten von Röntgenaufnahmen

Es gibt eine Reihe verschiedener Röntgenaufnahmen, die ein Zahnarzt anfertigen kann. Die Art der Röntgenaufnahme hängt stark von der Art der Behandlung ab, die der Patient benötigt. Dies sind einige der häufigsten Arten von Röntgenaufnahmen.

  • Periapikal: Ermöglicht die Sicht auf den gesamten Zahn, von der Krone bis zum Knochen, der den Zahn hält.

  • Bissflügel: Ermöglicht die Sicht auf die unteren und oberen hinteren Zähne. Anhand dieser Röntgenaufnahme kann der Zahnarzt außerdem erkennen, wie die Zähne miteinander in Kontakt stehen.

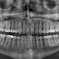
  • Panoramisch: Zeigt die Sicht auf die Zähne, den Nasenbereich, die Nebenhöhlen und die Kiefergelenke. Wird normalerweise angefertigt, wenn eine kieferorthopädische Behandlung nötig ist.

  • Okklusal: Bietet eine gute Sicht auf den Mundboden, so dass zusätzliche, noch nicht durch das Zahnfleisch durchgebrochene Zähne erkannt werden können.

Mundgesundheitsquiz

Was steckt hinter deinem Lächeln?

Mache unseren Mundgesundheitstest, um das Beste aus deiner Mundpflegeroutine herauszuholen.

Mundgesundheitsquiz

Was steckt hinter deinem Lächeln?

Mache unseren Mundgesundheitstest, um das Beste aus deiner Mundpflegeroutine herauszuholen.